Before & After Transformations
At Amherst Neighborhood Dentistry, we take pride in delivering personalized, high-quality dental care using the latest technology. Whether restoring a broken tooth with a same-day crown, replacing a missing tooth with an implant, or improving smile esthetics with precision bonding, our focus is always on achieving strong, natural-looking results. Browse our before and after cases to see how advanced techniques and thoughtful care come together to make a lasting difference.
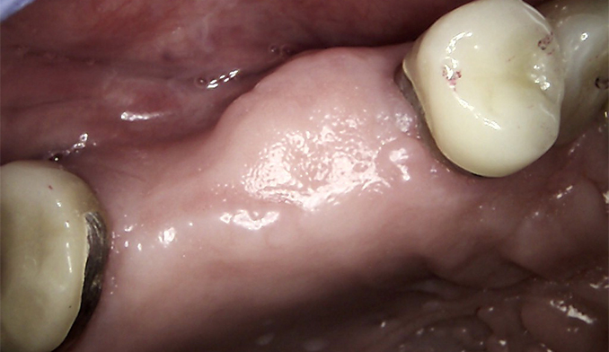
Molar Extraction, Bone Grafting, and Implant Placement
The patient’s lower right molar was severely damaged and could not be saved. After removing the tooth, we performed bone grafting to preserve the bone structure, ensuring a strong foundation for future treatment. Four months later, after proper healing, a dental implant was placed to restore function and maintain jaw health.
Front Tooth Repair with Bonding
The patient fractured her front tooth. We restored both the appearance and function of the tooth using cosmetic bonding, achieving a natural-looking and durable result.
Gumline Bonding for Esthetics and Protection
The patient requested bonding along the gumline to improve appearance and protect exposed areas. We placed tooth-colored fillings to restore a smooth, natural look and enhance long-term oral health.
Immediate Implant Placement After Front Tooth Loss
The patient presented with a broken front tooth that could not be saved. We removed the tooth and immediately placed a dental implant to preserve the natural appearance. After four months of healing, a custom implant crown was placed, fully restoring the patient’s smile and function.
Replacement of Gumline Filling for Improved Esthetics
The patient was unhappy with the appearance of an old filling along the gumline. We replaced it with a new, more natural-looking tooth-colored filling, enhancing the smile’s overall esthetics.
Retrieval of Broken Implant Screw and Restoration
The patient presented with a broken implant crown screw, visible on X-ray. We successfully retrieved the fractured screw (shown here compared to a pen for scale) and placed a new implant screw. The original crown was then reattached, restoring full function and appearance.
Sinus Lift and Implant Placement for Missing Molar
The patient wished to replace a missing upper left molar. To allow placement of an appropriately sized implant for long-term success, we performed a crestal sinus lift to gently raise the sinus floor. Bone grafting was completed at the same time, and the dental implant was placed in a single procedure to restore the missing tooth.
Restoration of Broken Front Bridge
The patient came in with a broken front bridge spanning three teeth. We were able to preserve the teeth supporting the bridge and created a custom new bridge to fit seamlessly, restoring both function and esthetics.
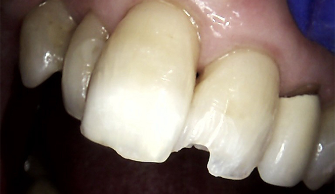
Same-Day Crown for Broken Tooth
The patient presented with a broken tooth that was salvageable. We quickly created and placed a custom crown in a two-hour appointment, restoring both the tooth’s function and appearance in one visit.
Same-Day Crown Replacement for Lower Molar
The patient’s old crown on the lower right molar came off and needed replacement. We created and cemented a new crown within a two-hour appointment, restoring the tooth’s function and appearance in one visit.
Same-Day Crown for Broken Molar
The patient broke a lower molar (second tooth from the back) while eating. Fortunately, the tooth was salvageable. We completed a same-day crown within two hours, restoring full strength and function.
Ready to serve you with a smile
Get in touch today
Book Now































